Clinical Focus ›› 2025, Vol. 40 ›› Issue (11): 1022-1026.doi: 10.3969/j.issn.1004-583X.2025.11.009

Previous Articles     Next Articles

Diagnosis of moyamoya disease by carotid ultrasound: Two cases and literature review

Li Zhiyonga, Li Xingb()   

  1. a. Department of Ultrasound; b. Department of Electrocardiogram Function, the Second People's Hospital of Jingdezhen, Jingdezhen 333000, China
  • Received:2025-07-30 Online:2025-11-20 Published:2025-12-02
  • Contact: Li Xing E-mail:470811101@qq.com

Abstract:

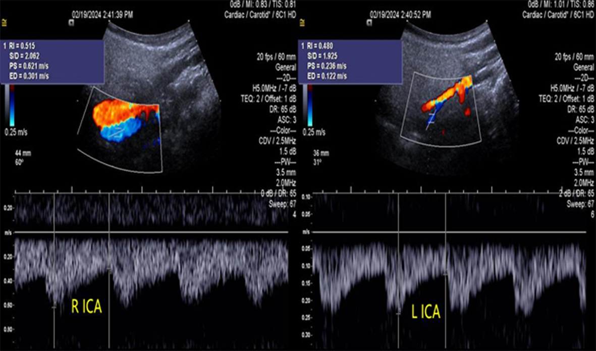
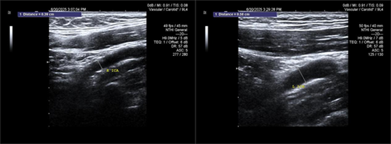
Objective To summarize diagnostic and differentialdiagnostic approaches for initial detection of moyamoya disease (MMD) using carotid ultrasound (CAU). Methods We report two patients who were first diagnosed with MMD by CAU and summarize the diagnostic reasoning and differential considerations. Relevant literature was reviewed to contextualize these findings. Results Case 1: A 57-year-old female presented with a >10 year history of dizziness and headache with recurrence over 3 days. CAU showed a reduced diameter of the left internal carotid artery (ICA), decreased flow velocity, and a lower resistance index, raising suspicion for severe intracranial stenosis or occlusion and prompting clinical exclusion of MMD. Magnetic resonance angiography (MRA) confirmed severe stenosis of the left ICA with absent distal branches and multiple small abnormal vascular networks in the left suprasellar region, consistent with MMD. Case 2: A 23-year-old male presented with dizziness for >1 year and transient right upperlimb weakness for 1 day. CAU and transcranial color Doppler (TCCD) showed a narrowed right ICA with reduced flow velocity and increased resistance index, suggesting chronic occlusion of the right middle cerebral artery and stenosis of the left middle cerebral artery, raising the possibility of MMD. MRA demonstrated an indistinct right ICA and right middle cerebral artery and narrowing of the left middle cerebral artery. On followup, the patient was diagnosed with MMD. Conclusion When CAU reveals a small internal carotid artery diameter accompanied by slowed flow velocity, clinicians should perform a comprehensive evaluation-including TCCD and further vascular imaging-to avoid missed or incorrect diagnoses of MMD.

Key words: moyamoya disease, dizzy, carotid ultrasound, diagnosis and differentiation

CLC Number: