临床荟萃 ›› 2026, Vol. 41 ›› Issue (3): 249-253.doi: 10.3969/j.issn.1004-583X.2026.03.009

• 论著 • 上一篇    下一篇

复发缓解型多发性硬化1例并文献学习

李施雨, 赵维纳()   

  1. 牡丹江医科大学附属红旗医院 神经内科,黑龙江 牡丹江 157000
  • 收稿日期:2025-12-03 出版日期:2026-03-20 发布日期:2026-03-27
  • 通讯作者: 赵维纳,Email: weinzhao@126.com

Relapsing-remitting multiple sclerosis: A case report and literature review

Li Shiyu, Zhao Weina()   

  1. Department of Neurology, Hongqi Hospital Affiliated to Mudanjiang Medical University,Mudanjiang 157000, China
  • Received:2025-12-03 Online:2026-03-20 Published:2026-03-27

摘要:

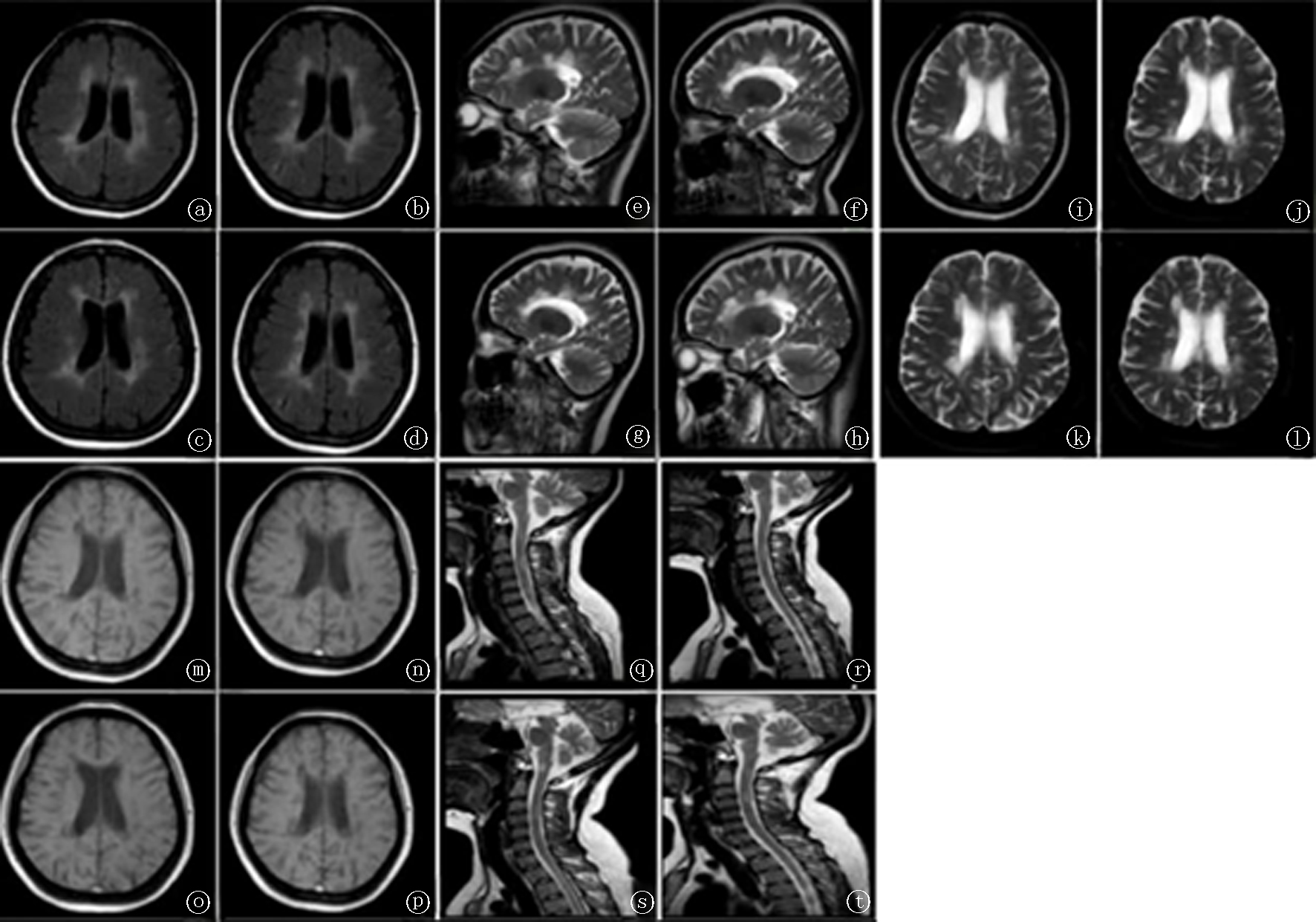
目的 探讨复发缓解型多发性硬化的临床特征、诊断及经验分享。方法 回顾性分析复发缓解型多发性硬化1例,并复习相关文献。结果 患者青年女性,主因左下肢无力16年,加重2月入院,发病前有复发缓解病史,合并银屑病病史,给予甲泼尼龙琥珀酸钠冲击治疗、口服吗替麦考酚酯胶囊等综合治疗后患者病情好转。出院后半年电话随访,患者病情平稳。结论 结合病史、症状、体征及影像学检查综合分析、早期诊断是治疗复发缓解型多发性硬化的关键。

关键词: 多发性硬化, 复发缓解型, 生物标志物, 疲劳

Abstract:

Objective To summarize the clinical characteristics, diagnostic approach, and clinical experience in a case of relapsing-remitting multiple sclerosis (RRMS). Methods We retrospectively analyzed one case of RRMS and reviewed the relevant literature. Results The patient was a young female with a 16-year history of left lower-limb weakness, who was admitted after a 2-month aggravation of symptoms. Her history included relapsing-remitting disease activity and comorbid psoriasis. She received intravenous methylprednisolone sodium succinate pulse therapy along with oral mycophenolate mofetil capsules and other comprehensive treatments, after which her condition improved. Telephone follow-up six months after discharge indicated stable clinical status. Conclusion Timely, early diagnosis founded on an integrated assessment of medical history, clinical signs and symptoms, and imaging is crucial for the management of RRMS.

Key words: multiple sclerosis, relapsing-remitting, biomarkers, fatigue

中图分类号: